Chi siamo
New Dental Labor presente a Brescia dal 1990, collabora con Odontoiatri e professionisti di Brescia e provincia.
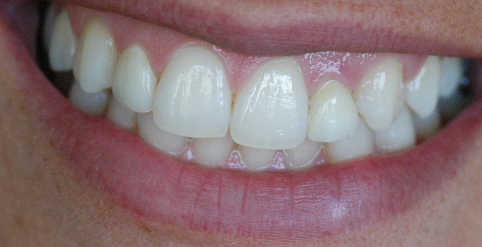
Il nostro principale obiettivo è garantire puntualmente un ottimo risultato globale, dedicando particolare attenzione ad ogni dettaglio estetico senza trascurare la tecnica e la funzionalità del manufatto. Oltre alla precisione ed alla meticolosità riservata ad ogni lavoro compresi i provvisori.
Siamo convinti che la collaborazione tra Odontoiatra ed Odontotecnico sia il presupposto indispensabile al raggiungimento del risultato atteso.
Realizziamo lavorazioni di protesi con tecnica Cad-Cam: Protesi fissa, mobile, combinata e Ortodonzia
Protesi in Nylon
Protesi in PMMA
Servizio fresatura Zirconio e metallo.
Info e Contatti
New Dental Labor s.n.c.
Via Carolina Bevilacqua, 36
25126 Brescia
Tel: 030/316139
PI:03102730177




